9 ведущих стоматологических клиник Санкт-Петербурга

Локальная или тотальная
имплантация «под ключ»
за 1 день врачом со стажем 15 лет
и опытом более 1 700 операций

Гарантия
низкой цены
Индивидуально,
тактично,
безболезненно
Более 2 300
операций в наших
клиниках в год
Колоссальный
опыт в тонкостях
и деталях!
Минимальные цены с гарантией и последующими бесплатным обслуживанием. 90% наших пациентов приходят по рекомендации
Рассчитайте стоимость имплантации и
получите персональную цену и консультацию
имплантолога со стажем 15+ лет
Ваш телефон:
Ведущий врач
хирург-имплантолог —
Кузьмин Игорь Алексеевич
Кандидат медицинских наук
врач-эксперт —
Колтунов Александр Владимирович
Врач-стоматолог
хирург-имплантолог —
Захаров Александр Николаевич
Врач-стоматолог
хирург-имплантолог —
Тимофеенко Александр Константинович
Врач-стоматолог
хирург-имплантолог —
Кинакцян Артем Арамович

Звоните!

Банки с которыми мы работаем:

Хоум Кредит Банк

Тинькофф Банк

МТС Банк

МФО Тинькофф финанс

СОВКОМ Банк

Кредит Европа Банк

Оформите рассрочку через Яндекс.Сплит

Яндекс Cплит — это сервис для оплаты покупок частями. Можно не оплачивать весь заказ целиком, а делить оплату с помощью Сплита.

Работы специалистов

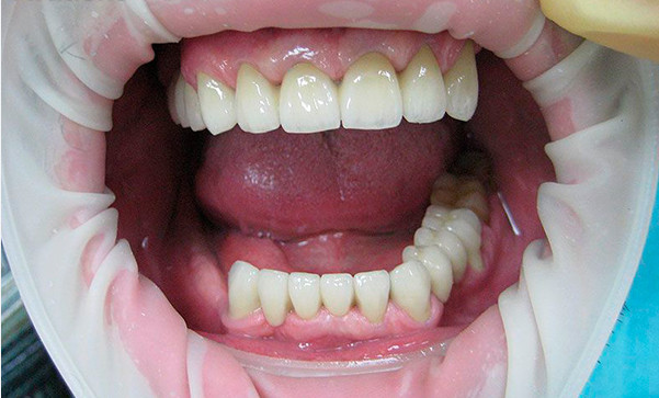
На верхней челюсти восстановление зубного ряда несъемным протезом на четырех имплантатах
На нижней челюсти протезирование полным съемным протезом «Acry-free» (Акри Фри)
Врач- хирург- имплантолог: Захаров Александр Николаевич
Врач-ортопед: Журавков Сергей Александрович
На нижней челюсти восстановление всех зубов по технологии «All-on-4»
На верхней челюсти протезирование полным съемным протезом Candulor
Врач- хирург- имплантолог: Кузьмин Игорь Алексеевич
Врач-ортопед: Дзгоев Урузмаг Альбертович
На верхней челюсти протезирование полным съемным протезом «Acry-free»
На нижней челюсти восстановление всех зубов по технологии «All-on-4»
Врач- хирург- имплантолог: Кузьмин Игорь Алексеевич
Врач-ортопед: Дзгоев Урузмаг Альбертович
На верхней и нижней челюсти установлены частичные съемные протезы и коронки из диоксида циркония
Врач-ортопед: Гулян Ани Зориковна
На верхней и нижней челюсти восстановление всех зубов по технологии «All-on-4»
Врач-хирург-имплантолог: Кинакцян Артем Арамович
Врач-ортопед: Багаев Артур Батрадзович
На верхней и нижней челюсти восстановление всех зубов по технологии «All-on-4»
Врач-хирург-имплантолог: Захаров Александр Николаевич
Врач-ортопед: Журавков Сергей Александрович
На верхней и нижней челюсти восстановление всех зубов по технологии «All-on-4»
На верхней челюсти восстановление всех зубов протезированием на шести имплантатах
Врач-ортопед: Журавков Сергей Александрович
На верхней челюсти восстановление зубного ряда несъемным протезом на шести имплантатах
Врач-ортопед: Журавков Сергей Александрович
На верхней челюсти восстановление зубного ряда несъемным протезом на шести имплантатах
Врач-хирург- имплантолог: Кущ Олег Владимирович
На нижней челюсти восстановление всех зубов по технологии «All-on-4»
Врач-хирург- имплантолог: Идрисов Руслан Альбертович
Врач-ортопед: Идрисов Ниматула Шамильевич
На верхней челюсти восстановление всех зубов по технологии «All-on-4»
Врач-хирург- имплантолог: Кущ Олег Владимирович
Врач-ортопед: Дзгоев Урузмаг Альбертович
На нижней челюсти восстановление всех зубов протезированием на шести имплантатах
Врач-хирург- имплантолог: Кущ Олег Владимирович
Врач-ортопед: Журавков Сергей Александрович
На нижней и верхней челюсти восстановление всех зубов протезированием на шести имплантатах
Врач-хирург- имплантолог: Колтунов Александр Владимирович
Врач-ортопед: Журавков Сергей Александрович
На верхней челюсти восстановление всех зубов протезированием на шести имплантатах
Врач-хирург- имплантолог: Кущ Олег Владимирович
Врач-ортопед: Журавков Сергей Александрович
На верхней и нижней челюсти установлены керамические виниры
На верхней челюсти установлена коронка из диоксида циркония на имплантате
Врач-ортопед: Журавков Сергей Александрович
Ответьте на 4 простых вопроса и получите подарок —
бесплатную диагностику
у опытного имплантолога
Шаг 1 из
Сколько зубов у вас отсутствует?
Как давно у вас отсутствуют зуб/зубы?
Когда планируете начать лечение?
Вам понадобится справка для налогового вычета?
Заполните форму и получите консультацию у имплантолога в подарок
Нажимая на кнопку, вы соглашаетесь
с условиями обработки персональных данных